Proton density-weighted structural MR: Slice 17
Slice 17
MRCBFCBF with
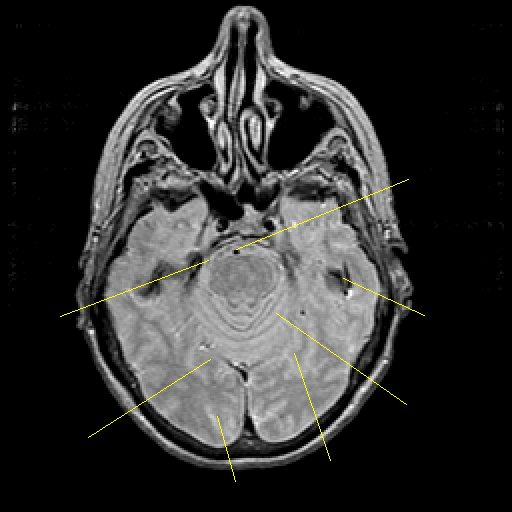
T1PDT2T1PDT2
Unlabeled
Pointers
Labeled
[Whole Brain Atlas Home Page] [Brain structure list] [Navigator Help Page]

Keith A. Johnson (keith@bwh.harvard.edu), J. Alex Becker (jabecker@mit.edu)