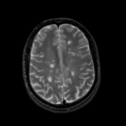
MR Study #2, February 17, 1991 -- Slice #35
Tour 1: Next/Previous/Start: Now look at the temporal movie at this level, and you will see three lesions of approximately the same size, which appear and nearly disappear, along with the associated halo of edema. The 3 foci of inflammitory activity are clearly not in synchrony. Notice the left lower lesion: it is at the base of the marginal sulcus and occupies white matter under the right post-central gyrus. As the acute inflammation grows, notice how the architecture of the post-central sulcus is displaced posterolaterally. Near the end of the year, this lesion has almost disappeared, but another has appeared just behind it, in the slice below. In Tour #2, we will consider a lower, periventricular slice, in which a large range of lesion size is seen.
[Home][Help][Clinical][Tour 1][Tour 2] Slice 35
Click on sagittal image to select slice. Click on thin tickmark to change timepoint, or thick tickmark for overlay.
Keith A. Johnson (keith@bwh.harvard.edu), J. Alex Becker (jabecker@mit.edu)