|
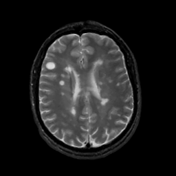
Tour 1: Next/Previous/Start: Look at the large round white spot in the right frontal region.
This is a relatively new lesion, and you can see how it
enlarges very rapidly over the next weeks. Look at the timeline cine.
With time, the lesion enlarges, there is a "halo" of white
(high) signal which surrounds the lesion. This probably represents the edema
which forms in reaction to the acute damage. At the end of the movie, you can
see that the lesion has nearly disappeared, with another lesions appearing.
|
|
Tour 2: Next/Previous/Start: On this tour, we will review the morphology and location of
smaller lesions. First, look at this slice with the timeline
movie, or "cine". Notice the large variety of lesion sizes, ranging from
a tiny spot in the left lateral frontal, to the huge lesion
in the right occipital.
|
|
|
[Home][Help][Clinical][Tour 1][Tour 2] |
Slice 32 |
Click on sagittal image to select slice. Click on thin tickmark to change timepoint, or thick tickmark for overlay. |
Keith A. Johnson (keith@bwh.harvard.edu), J. Alex Becker (jabecker@mit.edu) |
|
 |