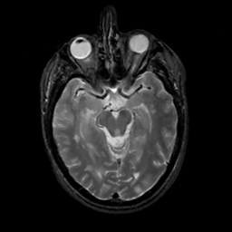
MR Study #2, February 17, 1991 -- Slice #20
Tour 1: Next/Previous/Start: This is a tour of the lesions of multiple sclerosis. Look at the "temporal" movie (time-cine) to see any changes occurring during one year's time. Look at the "spatial" movie (choose "cine", next to the sagittal image) to see the whole brain. There are a few small regions of high signal in temporal white matter, but, at this level, the image is mostly normal. On our next stop, we will see a larger lesion.
[Home][Help][Clinical][Tour 1][Tour 2] Slice 20
Click on sagittal image to select slice. Click on thin tickmark to change timepoint, or thick tickmark for overlay.
Keith A. Johnson (keith@bwh.harvard.edu), J. Alex Becker (jabecker@mit.edu)