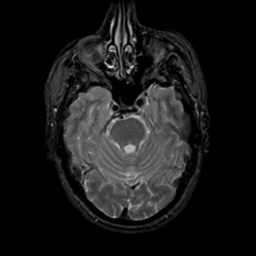
MR Study #19, August 25, 1991 -- Slice #15
[Home][Help][Clinical][Tour 1][Tour 2] Slice 15
Click on sagittal image to select slice. Click on thin tickmark to change timepoint, or thick tickmark for overlay.
Keith A. Johnson (keith@bwh.harvard.edu), J. Alex Becker (jabecker@mit.edu)