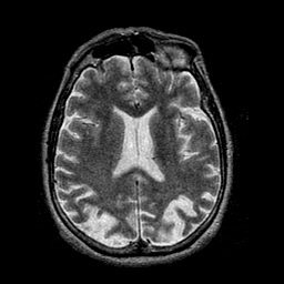
Alzheimer's disease: overlay -- Slice #31
[Home][Help][Clinical] Slice 31
Click on sagittal image to select slice. Click on thin tickmark to change timepoint, or thick tickmark for overlay.
Keith A. Johnson (keith@bwh.harvard.edu), J. Alex Becker (jabecker@mit.edu)