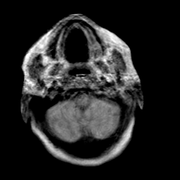
Creutzfeld-Jakob disease: proton density-weighted MR -- Slice #2
[Home][Help][Clinical] Slice 2
Click on sagittal image to select slice. Click on thin tickmark to change timepoint, or thick tickmark for overlay.
Keith A. Johnson (keith@bwh.harvard.edu), J. Alex Becker (jabecker@mit.edu)