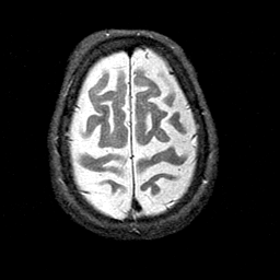
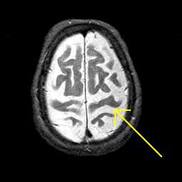
Alzheimer's disease MR T2-weighted -- Slice #40
Tour 1: Next/Previous/Start: This tour will examine the brain of an elderly woman with Alzheimer's disease. This brain displays many of the commonest features of the disease: brain shrinkage, or atrophy, and loss of function, as indicated by hypoperfusion (described in Tour 2). First, look at the prominent sulci, especially the central sulcus. Some reduction in brain volume is a part of normal aging, but compare this brain with the normal central sulcus, from a normal 81 year old woman. The abnormal shrinkage seen in this case, while not a finding specific to Alzheimer's disease, is severe and seems to affect some regions more than others.
[Home][Help][Clinical][Tour 1][Tour 2] Slice 40
Click on sagittal image to select slice. Click on thin tickmark to change timepoint, or thick tickmark for overlay.
Keith A. Johnson (keith@bwh.harvard.edu), J. Alex Becker (jabecker@mit.edu)