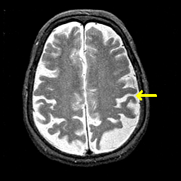
Alzheimer's disease MR T2-weighted -- Slice #33
Tour 2: Next/Previous/Start: Find the central sulcus. To get properly oriented, view the MPEG movie ("cine" button, next to the sagittal image) of the entire dataset, and find the central sulcus by first locating the marginal sulcus in the medial parietal lobe. From the marginal sulcus, the central is usually the first encountered when moving anteriorly. Compare this with the functional image at the same level (use the buttons at right, or choose the SPECT-Tc tickmark on the timeline). Note that both pre- and post- central gyri, where the primary sensori-motor cortices are located, are relatively hyperperfused. In general, Alzheimer's disease is associated with reduced brain function, especially in non-primary regions. The association cortex of the parietal lobes is often severely affected, as illustrated in this case.
[Home][Help][Clinical][Tour 1][Tour 2] Slice 33
Click on sagittal image to select slice. Click on thin tickmark to change timepoint, or thick tickmark for overlay.
Keith A. Johnson (keith@bwh.harvard.edu), J. Alex Becker (jabecker@mit.edu)