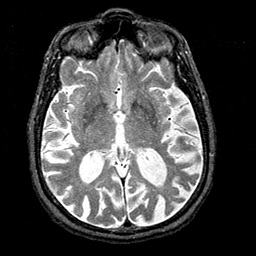
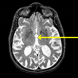
Alzheimer's disease MR T2-weighted -- Slice #24
Tour 1: Next/Previous/Start: The third ventricle is enlarged and contains a barely visible massa intermedia.
[Home][Help][Clinical][Tour 1][Tour 2] Slice 24
Click on sagittal image to select slice. Click on thin tickmark to change timepoint, or thick tickmark for overlay.
Keith A. Johnson (keith@bwh.harvard.edu), J. Alex Becker (jabecker@mit.edu)