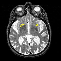
Alzheimer's disease MR T2-weighted -- Slice #22
Tour 1: Next/Previous/Start: At this level, there are several small white foci in the basal forebrain. These are normal, and represent perivascular spaces of the lenticulostriate arteries. When more prominent, they may be misidentified as lacunar infarcts.
[Home][Help][Clinical][Tour 1][Tour 2] Slice 22
Click on sagittal image to select slice. Click on thin tickmark to change timepoint, or thick tickmark for overlay.
Keith A. Johnson (keith@bwh.harvard.edu), J. Alex Becker (jabecker@mit.edu)