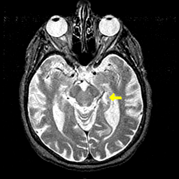
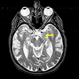
Alzheimer's disease MR T2-weighted -- Slice #19
Tour 1: Next/Previous/Start: On this slice, the atrophic hippocampus and amygdala can be seen. These structures subserve memory function, and are the sites of major damage in Alzheimer's disease.
[Home][Help][Clinical][Tour 1][Tour 2] Slice 19
Click on sagittal image to select slice. Click on thin tickmark to change timepoint, or thick tickmark for overlay.
Keith A. Johnson (keith@bwh.harvard.edu), J. Alex Becker (jabecker@mit.edu)