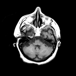
Basal Ganglia Calcification: T1-weighted MR -- Slice #4
[Home][Help][Clinical] Slice 4
Click on sagittal image to select slice. Click on thin tickmark to change timepoint, or thick tickmark for overlay.
Keith A. Johnson (keith@bwh.harvard.edu), J. Alex Becker (jabecker@mit.edu)