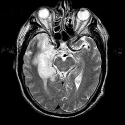
Herpes Encephalitis: T2-weighted MR -- Slice #12
Tour 1: Next/Previous/Start: Herpes Simplex Virus (HSV) encephalitis has its own neuroanatomy. It tends to attack a part of the brain known as the "limbic system", a set of interconnected brain structures responsible for the integration of emotion, memory, and complex behavior. This disease is important to recognize because there is an effective drug treatment, acyclovir.

We will see the limbic system on this tour, as shown by the lesions of a typical case of HSV encephalitis. HSV is ubiquitous, but fortunately, only 1 or 2 cases per million infected individuals develop the encephalitis of HSV each year in the US. It is the most frequently fatal of all encephalitides.

In this set of images, there is a region of very bright signal on MR (and high blood flow on SPECT; use the buttons at right) in the medial temporal lobe at left (patient's right). This corresponds to an area of active viral leptomeningeal and brain tissue infection. Hemorrhage can occur acutely, but is not seen in this case. You can see obliteration of the temporal horn of the lateral ventricle because of swelling of the hippocampus. The remainder of the brain is relatively hypoperfused (use the buttons at right) and structurally normal. The MR images were obtained 5 days after onset of symptoms, and the follow-up SPECT 23 days later.

How did this patient's symptoms relate to the location of the lesions? Go to the next tour point.

[Home][Help][Clinical][Tour 1] Slice 12
Click on sagittal image to select slice. Click on thin tickmark to change timepoint, or thick tickmark for overlay.
Keith A. Johnson (keith@bwh.harvard.edu), J. Alex Becker (jabecker@mit.edu)