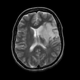
Acute Stroke: T2-weighted MR -- Slice #15
Tour 1: Next/Previous/Start: Note how the conventional T2-weighted images have converted to high signal in the lesion at four days after onset of symptoms. Compare these images with the diffusion-weighted MR images obtained acutely (below)
[Home][Help][Clinical][Tour 1] Slice 15
Click on sagittal image to select slice. Click on thin tickmark to change timepoint, or thick tickmark for overlay.
Keith A. Johnson (keith@bwh.harvard.edu), J. Alex Becker (jabecker@mit.edu)