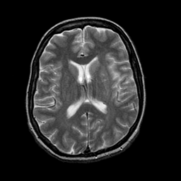
Acute Stroke: T2-weighted MR -- Slice #15
Tour 1: Next/Previous/Start: This is a tour of brain images from a 45 year-old woman who noticed the sudden onset of right body weakness and trouble speaking at about 400 PM. At the hospital, Roentgen-ray CT was normal, and the conventional T2-weighted MR image acquired 8 hours after onset of symptoms showed only subtle changes, appreciated only in retrospect. (Click the buttons at left to check adjacent slices.) Diffusion-weighted MR (below) showed a large area of abnormal signal in the region clinically suspected: the portion of left hemisphere supplied by the middle cerebral artery. It is important to note that the method of diffuson imaging shown here does not require specialized hardware. For details of the method, see published abstract describing the line scan diffusion method.
[Home][Help][Clinical][Tour 1] Slice 15
Click on sagittal image to select slice. Click on thin tickmark to change timepoint, or thick tickmark for overlay.
Keith A. Johnson (keith@bwh.harvard.edu), J. Alex Becker (jabecker@mit.edu)