MR Study #1 -- Slice #18
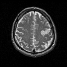
Tour 1: Next/Previous/Start: The infarct also has high signal on the T2-weighted images. This slice also demonstrates the ribbon-like geometry of the lesion.
[Home][Help][Clinical][Tour 1] Slice 18
Click on sagittal image to select slice. Click on thin tickmark to change timepoint, or thick tickmark for overlay.
Keith A. Johnson (keith@bwh.harvard.edu), J. Alex Becker (jabecker@mit.edu)