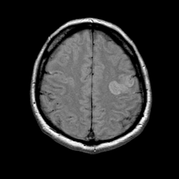
MR Study #1 -- Slice #18
Tour 1: Next/Previous/Start: This acute cerebral infarction can be seen to involve the left pre- central gyrus. Abnormally bright signal is seen here because of the presence of excess water which has a prolonged relaxation time. As tissue has become infarcted and edematous, the sulcus is no longer identifiable. Compare the infarcted side with the normal right side. As you navigate through the datasets, change between the three types of image with the buttons at right, or click on the timeline tickmark for the desired dataset.
[Home][Help][Clinical][Tour 1] Slice 18
Click on sagittal image to select slice. Click on thin tickmark to change timepoint, or thick tickmark for overlay.
Keith A. Johnson (keith@bwh.harvard.edu), J. Alex Becker (jabecker@mit.edu)