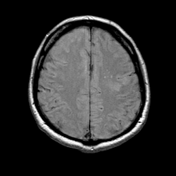
MR Study #1 -- Slice #17
Tour 1: Next/Previous/Start: On the next lower slice, extension of the infarct into white matter is seen.
[Home][Help][Clinical][Tour 1] Slice 17
Click on sagittal image to select slice. Click on thin tickmark to change timepoint, or thick tickmark for overlay.
Keith A. Johnson (keith@bwh.harvard.edu), J. Alex Becker (jabecker@mit.edu)