CT Study #3 -- Slice #17
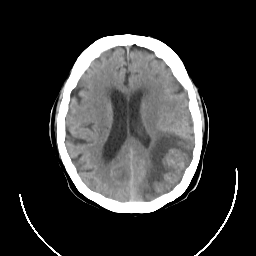
Tour 1: Next/Previous/Start: This large cerebral infarct occurred in the setting of atrial fibrillation and caused a dense fluent aphasia. The CT scan shown here was obtained 5 days after the onset of stroke symptoms. View the temporal movie of this slice to see the evolution of the lesion over the 5 day period. Significant swelling in the infarcted area produces obvious shift of the midline by day 5. This corresponded clinically to a diminished level of arousal, which resolved after 2 days.
[Home][Help][Clinical][Tour 1] Slice 17
Click on sagittal image to select slice. Click on thin tickmark to change timepoint, or thick tickmark for overlay.
Keith A. Johnson (keith@bwh.harvard.edu), J. Alex Becker (jabecker@mit.edu)