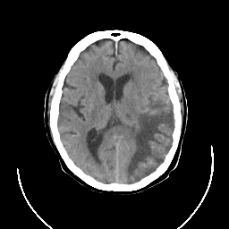
CT Study #3 -- Slice #15
Tour 1: Next/Previous/Start: In this slice, the lesion extends from near the occipital pole to the Sylvian fissure, conforming to the territory of the posterior branch of the middle cerebral artery.
[Home][Help][Clinical][Tour 1] Slice 15
Click on sagittal image to select slice. Click on thin tickmark to change timepoint, or thick tickmark for overlay.
Keith A. Johnson (keith@bwh.harvard.edu), J. Alex Becker (jabecker@mit.edu)