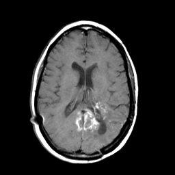
MR Study #3 -- Slice #31
Tour 1: Next/Previous/Start: The inferior extent of the lesion is seen to involve the left medial occipital lobe at this level, and to extend to the right side as well, probably along fiber tracts in the splenium of the corpus callosum.
[Home][Help][Clinical][Tour 1][Tour 2][Tour 3] Slice 31
Click on sagittal image to select slice. Click on thin tickmark to change timepoint, or thick tickmark for overlay.
Keith A. Johnson (keith@bwh.harvard.edu), J. Alex Becker (jabecker@mit.edu)