MR Study #2 -- Slice #37
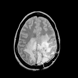
Tour 2: Next/Previous/Start: This tour will examine the cerebral edema which corresponds generally to the high signal extending from the center of the mass through surrounding white matter. On this proton-density-weighted image, the high signal corresponding to edema respects the gray-white junction, but tends to spare the "u"-fibers. This is a common observation in the white matter reaction to malignant neoplasia, so-called "vasogenic" edema. Choose a spatial movie (by clicking "cine" next to the sagittal image) of the proton density stack to see the extent of the edema.
[Home][Help][Clinical][Tour 1][Tour 2][Tour 3] Slice 37
Click on sagittal image to select slice. Click on thin tickmark to change timepoint, or thick tickmark for overlay.
Keith A. Johnson (keith@bwh.harvard.edu), J. Alex Becker (jabecker@mit.edu)